【ふじ歯科クリニック】三重県 松阪市 歯科 矯正歯科 歯周病 インプラント 審美歯科 歯ぎしり・顎関節症 義歯・口臭

三重県松阪市五反田町1丁目1300-5
0800-2000-567
歯周病
歯を失う原因第1位!! 口臭の原因第1位!!それが歯周病です。
しかも、日本人の80%が感染しており、歯周病で命を落とす危険性も・・・
自分が歯周病であるにもかかわらず、それに気がつかない人がたくさんみえます。
成人、それも中高年のほとんどの人が抱えていると言われる歯周病。

なぜ気がつかないのでしょう?

なぜなら歯周病は、「沈黙の病気」と呼ばれ、これといった症状も痛みもなく静かに進行していく病気だからです。自覚症状に乏しいため、放置してしまう場合が多く見られます。

この歯周病は、口の中の細菌が蓄積することによって歯ぐきの炎症(歯肉炎)となり、その後、歯を支えている歯槽骨を破壊し、やがては歯が抜けて落ちてしまうことも・・・。
歯が抜けてしまうこと自体、健康で元気に暮らしていくにあたっては大きな問題です。
またそれにとどまらず、 歯周病菌はあなたの大切な人、家族などにも感染することが判ってきました。
しかも、最近もっと恐ろしいことが判明しました。

それは・・・・・・・・

歯周病
歯周病菌が毛細血管を通じて全身に回ることで、糖尿病の悪化や動脈硬化、心内膜炎、
さらには妊娠中のトラブルなどを引き起こし、場合によっては命を落とす危険性もあるということです。


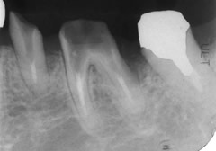
そしてこれが実際に心臓の病気になられた方の、口の中に残っていた重度の歯周病の歯です。

歯の根の先までが歯石(黒色)で覆われています。このような細菌のかたまりを口の中に残しておいて体にいいわけがありません。 歯周病が原因で脳疾患、心疾患、動脈硬化などになられた方の多くは、このような状態の歯でも抜かずに大切に残してきた傾向が強いと思われます。ある程度のところまで歯周病は進行してしまうと抜かざるをえなくなり、それが健康のためでもあるのです。
重度の歯周病の歯

では、どうすれば歯周病は治るのでしょう?

歯周病の治療は、歯のまわりの汚れを取ることから始まります。
当院では、痛みがでないように、それぞれ患者さんにあわせたペースで汚れをとっていきます。

場合によっては、肉眼では見えにくい歯石を専門のスタッフが、拡大鏡を使用してツルツルに仕上げていきます。

比較的軽い歯周病であれば、歯や歯の周りを清潔に保つ治療を続けることで短期間に進行を阻止することができます。
歯周病の治療
術前
術前
術後
術後

しかし、炎症が歯肉の奥まで進行し、長期間放置されたがんこな汚れの場合、歯周組織の破壊がひどい場合には、治療期間が長くかかったり、手術(歯周外科手術)が必要となる場合があります。この手術の際に、歯周組織再生誘導材料という手術治療を補助するための、歯科用の材料を使うことがあります。

歯周組織の再生治療とは?

失われた歯周組織を元の健康な状態に戻すことを、歯周組織の再生治療といいます。
当院では歯周組織再生誘導材料(エムドゲインゲル)や骨などを使い、歯周病で失われた歯周組織を元の健康な状態にもどすために努力しております。
歯周ポケットの測定
歯周ポケットの測定
歯肉の切開
歯肉の切開
歯肉の剥離
歯肉の剥離
歯根表面の清掃
歯根表面の清掃
エムドゲインゲルの塗布
エムドゲインゲルの塗布
縫合
縫合


治療例

術前
術前
術後
術後
術前
術前
術後
術後

歯周病の自己診断

歯周病は(沈黙の病気)と呼ばれるくらい痛みもないし悪くなっていることに気づきにくい病気です。しかし歯周病の自己診断表を参考に程度を知ることは出来ます。
1.
歯肉はピンク色で引き締まっている
0点
2.
歯肉が赤色や紫色になっている
5点
3.
歯肉がむずがゆく、歯が浮く感じがする
5点
4.
歯磨きをすると血が出る
5点
5.
起床時に口の中がネバネバする
10点
6.
歯肉が赤く腫れブヨブヨしている
10点
7.
何もしないのに歯肉から血が出る
15点
8.
歯がぐらついて物が噛めない
15点
9.
冷たいものがしみる
15点
合計が5点から25点の方は軽度から中等度の歯周病の可能性があります。まずブラッシングをしっかりしてみましょう。それでも改善しなければ歯科医師に診てもらう必要があります。

30点以上の方は進行した歯周病の疑いが濃厚です。すぐに診てもらってください。
三重県松阪市五反田町1丁目1300-5
ふじ歯科クリニック
TEL. 0800-2000-567
診療時間
月〜金 9:00〜13:00/15:00〜19:00
※土曜日 9:00〜12:30/14:00〜18:00
休診日:水曜日午後・木曜日・日・祝日